Artrosis de hombro
ARTROSIS DEL HOMBRO
La Artrosis es una enfermedad degenerativa de las articulaciones. Básicamente consiste en la pérdida del cartílago articular, la formación de osteofitos (picos de hueso) y la deformación de la articulación afectada. El cartílago hialino de las articulaciones es una capa de unos milímetros de un tejido conectivo especializado en absorber carga mecánica y favorecer el deslizamiento de un hueso sobre otro a nivel de las articulaciones.
Existen factores desencadenantes de la artrosis, como un traumatismo importante, y factores que aceleran la progresión de la misma, como la inestabilidad o la sobrecarga mecánica de la articulación afectada. También existe una predisposición genética a padecer la enfermedad.
ARTROSIS DEL HOMBRO
La Artrosis es una enfermedad degenerativa de las articulaciones. Básicamente consiste en la pérdida del cartílago articular, la formación de osteofitos (picos de hueso) y la deformación de la articulación afectada. El cartílago hialino de las articulaciones es una capa de unos milímetros de un tejido conectivo especializado en absorber carga mecánica y favorecer el deslizamiento de un hueso sobre otro a nivel de las articulaciones.
Existen factores desencadenantes de la artrosis, como un traumatismo importante, y factores que aceleran la progresión de la misma, como la inestabilidad o la sobrecarga mecánica de la articulación afectada. También existe una predisposición genética a padecer la enfermedad.
La progresión del desgaste es difícil de frenar, por eso a medida que se envejece la proporción de pacientes con artrosis aumenta.
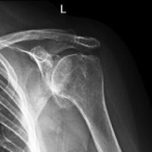
La articulación escapulohumeral es la que conecta la cabeza del húmero con la glena de la escápula, y es la articulación de la cintura escapular que mayor movimiento tiene, con desplazamiento en flexión y extensión del brazo, aproximación (aducción) y separación del mismo (abducción), rotaciones externa e interna, y movimientos combinados de antepulsión, retropulsión y circunducción. En esta articulación la artrosis se produce en la mayoría de los casos como consecuencia de traumatismos previos, inestabilidad o rigidez del hombro, artropatía por lesiones del manguito rotador, y osteonecrosis o enfermedades reumáticas que deforman la articulación.
Como consecuencia del desarrollo de artrosis escapulohumeral u omoartrosis, el paciente sufre dolor en el hombro y pérdida de movimiento del mismo. La cabeza humeral pierde su forma normal esférica y se va achatando, creciendo una corona osteofitaria en su periferia. Los tendones del hombro pueden estar afectados o no. Si el manguito rotador está roto la cabeza humeral asciende. La rotación externa está muy limitada y la abducción y antepulsión no suelen llegar a los 90º.
Los pacientes normalmente llevan mucho tiempo con esta patología cuando llegan al traumatólogo. En los primeros años el dolor es soportable y la disminución del uso del brazo hace que sean menos manifiestos los síntomas. El dolor puede calmarse con paracetamol o ibuprofeno en los primeros estadios de la enfermedad, pero a medida que avanza se produce dolor de reposo que responde peor a los mismos.
La fisioterapia es útil para tratar las contracturas periarticulares, pues con frecuencia existe dolor cervical y dorsal además de dolor en el hombro. Además ayuda a mantener o perder menor movilidad.
Cuando el paciente no puede realizar una vida normal (aseo, vestirse, coger o llevar cosas) y el dolor es continuo, es el momento de plantear la intervención quirúrgica.
La Artroscopia de Hombro puede utilizarse en casos no muy severos para retirar los osteofitos, además de realizar una sinovectomía (quitar la sinovial inflamada) y regularizar la superficie de cartílago irregular. Es una intervención ambulatoria y mínimamente invasiva que no cierra puertas a otras intervenciones mayores, pero de la que no debe esperarse una resolución completa de los síntomas sino solamente una mejoría parcial. En el caso del hombro podría reservarse para artrosis inicial que se presenta en el contexto de roturas del manguito rotador o bíceps braquial, que son patologías que también pueden mejorarse con esta técnica.
En los pacientes mayores con artrosis severa la Prótesis de Hombro es la mejor opción. Existen varias opciones. En los casos en los que la glena escapular no está muy afectada por el desgaste se puede realizar una Prótesis Parcial de Hombro, en la que solamente se protetiza (sustituye) la cabeza humeral. Las prótesis que utilizamos son modulares y anatómicas, y el vástago de la prótesis que se introduce en el canal humeral queda sujeto a presión o utilizando el llamado cemento quirúrgico. Cuando la glena está deteriorada también se coloca un componente escapular, que suele ser metálico y con un polietileno (plástico) que queda entre la cabeza y la glena de la prótesis. En algunos casos especiales en los que el manguito rotador, especialmente el tendón del supraespinoso, está roto y sin función, las prótesis que se utilizan reciben el nombre de Prótesis Invertida de Hombro. En estos diseños se coloca un componente esférico en la escápula, y un componente plano con su polietileno en la cabeza humeral.
Los resultados son buenos en la gran mayoría de los pacientes. El dolor y la función mejoran significativamente, aunque no es esperable la recuperación completa de la movilidad. El paciente permanece en el hospital menos de una semana. La rehabilitación comienza lo antes posible y se prolonga hasta que el paciente consigue un buen arco de movimiento y fuerza en el brazo. El desarrollo de los instrumentales ayuda a una mejor técnica quirúrgica para optimizar igualmente los resultados.
Las complicaciones graves son poco frecuentes, siendo la infección, la luxación de la prótesis o el aflojamiento de la misma algunas de las que requieren cirugía de revisión.





